817.431.1860 About Staff Patients
Contact Login
Request Appointment Home About Us Meet Dr. Unger & Staff Dental Services Patient Resources Financial Information Membership Plans Contact Us
Texas Dental Arts Logo

Our Services

This is what we do to improve your health, function, and appearance.


Dental Exam
Whether it is a routine evaluation or looking at a specific problem, our goal is to diagnose the status of your dental health.

Dental Exams

Dental Cleaning
Your hygiene at home is very important, but allowing us to help periodically will ensure that nothing is being missed.

Professional Cleaning

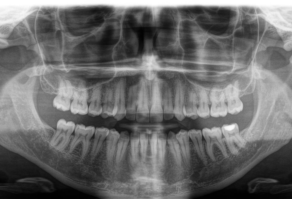
Dental X-ray
Some of the biggest improvements in dentistry have come in digital imaging. The better we see, the more we can discover together.

Imaging & X-rays

Periodontal Care
Gum disease requires special attention. We can help you create a plan to get back to normal periodontal health.

Periodontal Care

Tooth Decay
Tooth decay can cause some unfortunate damage. Modern materials exist to help repair the damage and restore function and aesthetics.

Restorative Fillings

Ceramic Crowns
When the damage is bigger or a stronger solution is needed, a conservative ceramic crown restores function and looks and feels natural.

Ceramic Crowns

Dental Extraction
A tooth that is beyond repair should be removed to prevent infection and promote normal healing.
Most Extractions
Dental Implants
Dental implants have opened up new possibilities for tooth replacement and oral health reconstruction.
Dental Implants
Whitening
A simple but effective method to brighten the natural whiteness of your teeth.
Laser Teeth Whitening